domingo, 5 de diciembre de 2010

El Diagnóstico de la Enfermedad del Alzheimer


Domingo 5 de diciembre de 2010



El Diagnóstico de la Enfermedad del Alzheimer

                                     


Universidad Internacional de las Américas
Autora: Isabel Carballo Vargas
III Cuatrimestre


            El diagnóstico de la Enfermedad del Alzheimer es fundamentalmente clínico, por lo cual se debe hacer en dos fases; la primera de ellas consiste en obtener los datos clínicos del síndrome de demencia, para poder excluir del paciente los síndromes de depresión y delirium. La segunda de las fases, consiste en confirmar si se cumple el criterio de la enfermedad de Alzheimer de inicio insidioso y la evolución progresiva en ausencia de otras causas. ( 2 )

            Para realizar el diagnóstico de la segunda fase de manera correcta y con el instrumento más adecuado se debe complementar la historia clínica con un examen neurológico y neuropsicológico.

            El profesional de la salud que puede realizar este examen debe ser neurólogo, psiquiatra, geriatra o psicogeriatra; todos  ellos deberán tener conocimientos amplios de la enfermedad del Alzheimer y sus trastornos asociados, así como acceso a ciertos centros de investigación. La elección del correcto profesional va a depender de la edad que presenta el paciente y el grado de discapacidad que padezca. ( 5 )

                                                               
                                                              

Figura I. Elegir al correcto profesional de la Salud para obtener un diagnóstico certero.

Para facilitar y precisar los diagnósticos de la enfermedad del Alzheimer se han establecido diagnósticos clínicos; los cuales serán detallados a continuación:

Criterios ICD-10 para el diagnóstico de demencia: Comprueba el deterioro del pensamiento, del razonamiento y la disminución en el flujo de ideas  que detienen las actividades cotidianas, estos síntomas deben estar presentes en al menos seis meses. Además para este criterio de diagnóstico se valora la disminución de la memoria, así como el cambio para registrar, almacenar y recuperar información nueva. ( 2 )

Criterios diagnósticos DSM-IV para la enfermedad del Alzheimer: Evalúa los déficits cognitivos múltiples, como los son: Apraxia, Afasia y Agnosia. También se encarga de determinar el cambio de la función pronta que interfieren en la actividad laboral y social que tiene una trayectoria gradual y progresiva, descartando que las variaciones cognitivas no sean debidas a otras causas.

Criterios diagnósticos en la enfermedad de Alzheimer; NINCDS-ADRDA: El  NINCDS-ADRDA imponen los parámetros para valorar cuando la Enfermedad de Alzheimer es probable, utilizando para tal efecto pruebas complementarias  de apoyo a través de un Electroencefalograma ( EEG) normal o inespecífico. Además de medir cuando es posible identificar a la enfermedad del Alzheimer como un déficit progresivo y grave en ausencia de otras causas; e identifica cuando es definitiva como evidencia de lesiones hispatológicas características en la biopsia o necropsia.

Marcadores diagnósticos de la Enfermedad de Alzheimer: Se han hecho grandes esfuerzos en la búsqueda de marcadores diagnósticos para la enfermedad de Alzheimer. El cual se puede definir como: un hecho clínico o un dato paraclínico que permita un diagnóstico preciso.(1) Estos marcadores de diagnóstico de la Enfermedad de Alzheimer se dividen en varias categorías a saber:

  • Marcadores genéticos: considerados marcadores predictivos de la enfermedad y es de suma importancia identificar el tipo de alteración genético para un diagnóstico certero. En el historial de los pacientes y sus familias se han visto implicados tres genes: el gen de la proteína  precursora de amiloide en el cromosoma 21, el gen de la presenilina 1 en el cromosoma 14 y el gen PSEN2 en el cromosoma 1. Por otra parte, en el Alzheimer tardía se han identificado el gen de la apolipoproteína E en el cromosoma 19. (3 )

  • Marcadores biológicos: los más importantes son El péptido abeta42, y la proteína tau y en estudios recientes se ha manifestado la importancia de la proteína p97.

  • Marcadores neurofisiológicos: son pruebas electofisiológicas como el  Electroencefalograma.

  • Marcadores clínico- semiológicos: entre los que están, el análisis de los errores de intrusión y la afectación del recuerdo diferido que parece ser el más preciso.

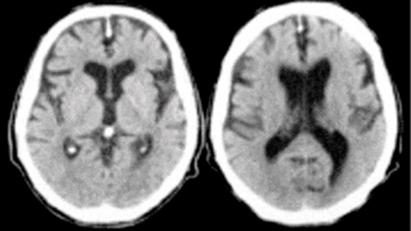
  • Marcadores de neuroimagen: son las más utilizadas para el diagnóstico del Alzheimer; y se dividen en técnicas estructurales (Tomografía Axial Computarizada, Resonancia Magnética) y técnicas funcionales (Resonancia Magnética funcional, Tomografía por emisión de positrones). 
                                 

Figura II. Tomografía axial computada de encéfalo que evidencia una gran atrofia frontotemporal.

Esta enfermedad es un problema de salud que afecta en su mayoría a las personas adultas mayores de todo el mundo.

En Costa Rica se cree que los afectados pueden oscilar entre los 2700 y los 9000 enfermos. ( 4 ) Pero la mayoría de estos casos no se han diagnosticado ya que esta enfermedad no solo esta acompañada de síntomas de demencia sino también de alteraciones de conductas y lesiones anatomopatológicas
(pérdida de neuronas y atrofia  cerebral de predominio temporo-fronto-parietal). 

Es importante, terminar recordando que para esta enfermedad no existe un test de laboratorio que la confirme, pues esto se puede verificar hasta realizar una autopsia.


Bibliografía

  1. Bernardito, J. I. 1998.  Enfermedad del Alzheimer. Medicina integral 82

  1. Ezquerro, R; Gómez, S. 1998. Demencia degenerativas primarias. Casa Editorial Suramericana. Buenos Aires, Argentina.

  1. Martínez, J; Bayón, A. 2001. Alzheimer 2001: Teoría y Práctica. Editorial Aula Médica. Madrid, España.

  1. Ponchner,D. 2001. Siglo XXI. La Nación. Pág. 13

    5.   Robert, T. 1994. La Enfermedad de Alzheimer. Editorial JUS. Ciudad de México, México.

3 comentarios:


  1. Sería ingrata si decidiera no compartir nuestra experiencia de éxito con ZOMO, nací como cuidadora, por lo que me resulta difícil ver mis propias necesidades por separado de las necesidades de mi papá. La mayoría de los pacientes solo necesitan que alguien los abrace y les diga que no valen la pena, el tratamiento que probé no solo funcionó, sino que creo que lo curó.

    Fue diagnosticado en 2011. Llevé a papá al médico de cabecera después de notar que se había vuelto cada vez más olvidadizo y vago. La clara señal de que algo estaba mal vino cuando condujo su auto a las tiendas locales (a cinco minutos en auto), compró sus compras, luego caminó de regreso a casa, olvidando que el automóvil estaba estacionado afuera de la tienda. Al día siguiente me llamó para decirme que me habían robado el coche. No tenía ningún recuerdo de dejarlo atrás. Después de una semana comenzó a repetirse y hacer las mismas preguntas. Lucharía por recordar conversaciones que solo habían ocurrido cinco minutos antes.

    Su situación era muy complicada. Entiendo cómo se siente una hija y una vez cuidadora, la pérdida de memoria es mucho más complicada. Muchos se han visto condicionados a pensar que la medicina tradicional no ha encontrado una cura para una enfermedad. ZOMO ha desafiado este tren de mi pensamiento. Cuando estaba enfermo, fue una tragedia, lo soporté, me quebranté, supe dificultades, me perdí. Pero aquí estoy y puedo decirte inequívocamente que mi papá está curado. Esos de nosotros que hemos sido quebrantados entendemos el significado de la pérdida de memoria. Cuando miro el pasado y empiezo a escribir esto, las lágrimas de alegría me abruman. Me doy cuenta de que cada vez que pensaba que me rechazaban por algo bueno, en realidad me estaban redirigiendo a algo mejor. Fue uno de mis trabajos más difíciles y en el que vertí mi corazón y mi alma diariamente. Teniendo en cuenta lo bien que mi papá progresó en ese espacio de tiempo y ahora. No hay más síntomas de pérdida de memoria por más de 6 meses ahora. La cosa es que me da paz cuando papá está bien cuidado: cuando está feliz, yo estoy feliz. En este momento, todo se trata de él ... Siempre entro en su mundo para que podamos manejar la vida juntos. Nos levantamos cada mañana con una sonrisa y esperamos con ansias lo que nos traerá el nuevo día. Póngase en contacto con él en charantova@gmail.com

    ResponderEliminar
  2. DOES HERBS WORK FOR DEMENTIA?

    This was the same question that prompted me to read further a testimony I saw on a blog. I would like to tell a story - hoping it will be useful to others - of my struggles and achievements with Dementia. I was diagnosed a little over 4 years ago, No doctors I met have any treatment or even suggestions apart western medications. I even sought advice on Youtube, to no avail. After using the conventional approach to medication treatment without improvement. I am glad something happens fast. There have been suicides due to people not being able to continue on living with the endless memory challenges. It is horrible. I learned about Dr. charanjit herbal medicine that works effectively for me without any negative effects. I have returned back to my normal life and I hope that the symptoms do not return again, It really helped me! If you have Dementia kindly contact Dr. Charanjit for help and necessary solution (charantova@gmail.com)

    ResponderEliminar
  3. CÓMO ME CURÉ DE LA ENFERMEDAD DE ALZIEMEIR

    Me diagnosticaron (enfermedad de Alziemeir) durante los últimos 2 años, lo que me hizo perder mi trabajo y mi relación con mi prometido después de que él descubrió que tenía la enfermedad de Alziemeir, ella me dejó y yo hice todo lo posible para que ella se quedara, pero ella Me descuidó hasta que un amigo mío del Reino Unido me dijo Gran sanador, que restaurará mi vida con su poderosa medicina herbaria curativa. Luego me envió su dirección de correo electrónico para contactarlo: drimolaherbalmademedicine@gmail.com. Y rápidamente me comuniqué con él y me dijo que mi condición se resolvería en unas semanas, que trataría la enfermedad de inmediato solo si podía aceptar la confianza en él y aceptar sus términos y condiciones. Acepté porque necesitaba mucha ayuda. por supuesto, así que hice todo lo que me indicó. Y sorprendentemente después de dos semanas, me envió un mensaje de texto, que debía ir rápidamente al hospital para un chequeo, lo cual realmente hice, le confirmo a mi médico que ahora estoy (Alziemeir Negativo) mi corazón se llenó de alegría, porque verdaderamente la enfermedad me privó de muchas cosas de mi vida, Esto es un Milagro, el dr imoloa también usa su poderosa medicina herbaria para curar las siguientes enfermedades: enfermedad de lupus, úlcera bucal, cáncer de boca, dolor corporal, fiebre, hepatitis A.B.C., sífilis, diarrea , VIH/SIDA, enfermedad de Huntington, acné en la espalda, insuficiencia renal crónica, enfermedad de Addison, dolor crónico, enfermedad de Crohn, fibrosis quística, fibromialgia, enfermedad inflamatoria intestinal, enfermedad fúngica de las uñas, enfermedad de Lyme, enfermedad de Celia, linfoma, depresión mayor, melanoma maligno , manía, melorreostosis, enfermedad de Meniere, mucopolisacaridosis, esclerosis múltiple, distrofia muscular, artritis reumatoide, enfermedad de Alzheimer, enfermedad de parkison, cáncer vaginal, epilepsia, trastornos de ansiedad, enfermedades autoinmunes, dolor de espalda, esguince de espalda, trastorno bipolar, tumor cerebral maligno, Bruxismo, bulimia, enfermedad del disco cervical, enfermedad cardiovascular, neoplasias, enfermedad respiratoria crónica, trastorno mental y del comportamiento, fibrosis quística, hipertensión, diabetes, asma, artritis inflamatoria autoinmune. Enfermedad renal crónica, enfermedad inflamatoria de las articulaciones, impotencia, espectro de alcohol feta, trastorno distímico, eccema, tuberculosis, síndrome de fatiga crónica, estreñimiento, enfermedad inflamatoria intestinal, cáncer de huesos, cáncer de pulmón. contáctelo por correo electrónico: drimolaherbalmademedicine@gmail.com

    ResponderEliminar